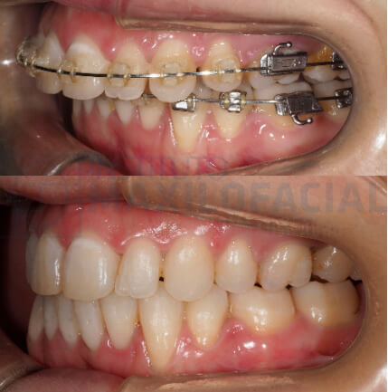
Our patient Soraya visited us from Murcia to correct her Class II malocclusion, which was causing her chewing difficulties and affecting her facial appearance.
After researching online, Soraya decided that our center was the best option for her and entrusted herself to Professor Hernandez Alfaro for bimaxillary surgery, which consisted of:
- Advancement and counterclockwise rotation of the maxilla
- Advancement and counterclockwise rotation of the mandible
Six months after her surgery, Soraya has completed her orthodontic treatment and shares her experience with us.










