Cirugía periodontal

-Clase 2, mordida abierta, microdoncia, edentulismo parcial-

Cirugía ortognática bimaxilar. Mentoplastia. Implantes dentales. Alargamiento de coronas.

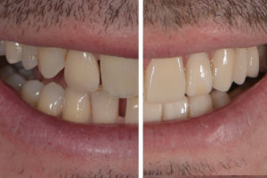
Carillas superiores e inferiores
Carillas superiores e inferiores

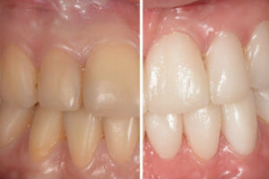
Rehabilitación con implantes

Carillas dentales

Carillas superiores e inferiores

FACIAL SURGERY, S.L.P.
Centro Médico Teknon
Carrer Vilana, 12 (Off. 185)
08022 - Barcelona, España
Tel: 933 933 185
atencionpaciente@institutomaxilofacial.com