...

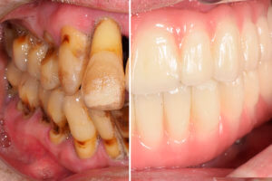
- Clase III, Edentulismo-

Cirugía ortognática de avance maxilar+ Pomuloplastia

implante subperióstico superior + 8 implantes convencionales inferiores

Prótesis superior e inferior de zirconio con barra de titanio

16 implantes convencionales

Prótesis superior e inferior de zirconio con barra de titanio

2 implantes cigomáticos

14 implantes convencionales

prótesis fija sobre implantes superior e inferior

16 implantes convencionales

prótesis fija sobre implantes superior e inferior

2 implantes cigomáticos

4 implantes convencionales

prótesis superior fija sobre implantes

6 implantes superiores

6 implantes inferiores

prótesis fija sobre implantes

Regeneración ósea

2 implantes cigomáticos

4 implantes convencionales

prótesis fija sobre implantes

FACIAL SURGERY, S.L.P.
Centro Médico Teknon
Carrer Vilana, 12 (Off. 185)
08022 - Barcelona, España
Tel: 933 933 185
atencionpaciente@institutomaxilofacial.com