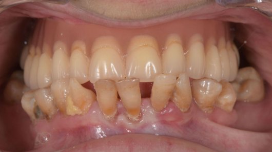
Montserrat presentaba una periodontitis grave en la arcada inferior y una prótesis en la arcada superior que necesitaba ser renovada. Después de un tratamiento periodontal para rehabilitar el hueso, se le colocaron 4 implantes zigomáticos y 6 implantes en la arcada inferior, así como prótesis definitivas en ambas arcadas.



