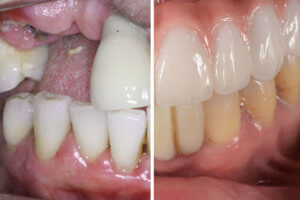
6 implantes superiores

6 implantes inferiores

prótesis fija sobre implantes

6 implantes

1 implante pterigoideo

prótesis completa superior

4 implantes cigomáticos

4 implantes convencionales

prótesis completa

-Clase 2, mordida abierta, microdoncia, edentulismo parcial-

Cirugía ortognática bimaxilar. Mentoplastia. Implantes dentales. Alargamiento de coronas.

Rehabilitación de la arcada superior con 4 implantes cigomáticos
All on four superior e inferior

-Clase III, edentulismo y atrofia maxilar-

Cirugía monomaxilar, implantes zigomáticos con prótesis fija

Reconstrucción ósea

4 implantes cigomáticos

2 implantes pterigoideos

Prótesis fija

FACIAL SURGERY, S.L.P.
Centro Médico Teknon
Carrer Vilana, 12 (Off. 185)
08022 - Barcelona, Espanya
Tel: 933 933 185
atencionpaciente@institutomaxilofacial.com