Rehabilitación ósea

Implantes dentales

Prótesis fija

Rehabilitación oral

Implantes

Prótesis de arcada superior e inferior

Rehabilitación oral

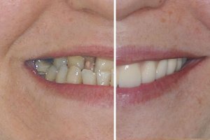
4 implantes zigomáticos

6 implantes

Prótesis superior e inferior

Rehabilitación con implantes

Carillas dentales

Regeneración ósea

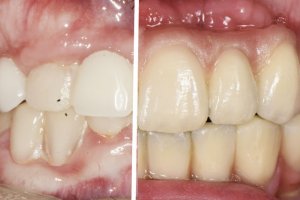
Colocación de 2 implantes anteriores

Colocación de 4 implantes zigomáticos

Reconstrucción ósea Colocación de 4 implantes
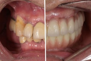
Prótesis completas fijas superior e inferior
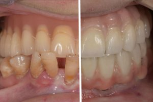
Reconstrucción ósea mediante injertos Colocación de implantes en mandíbula y maxilar

FACIAL SURGERY, S.L.P.
Centro Médico Teknon
Carrer Vilana, 12 (Off. 185)
08022 - Barcelona, Espanya
Tel: 933 933 185
atencionpaciente@institutomaxilofacial.com