Procediments
Cirurgia ortognàtica
Què és…?
Procediments
Surgery First
Cirurgia mínimament invasiva a la Cirurgia Ortognàtica
Planificació 3D Cirurgia Ortognàtica
Casos clínics de Cirurgia Ortognàtica
FAQS
Apnea del son
Què és…?
Procediments de Apnea del Son
Planificació 3D de Apnea del Son
Casos clíncis
FAQs d’Apnea del Son
Cirurgia oral i maxilofacial
Què és…?
Procediments de Cirurgia Oral i Maxil·lofacial
FAQs de Cirurgia Oral i Maxil·lofacial
Implants dentals
Què són…?
Implants Subperiòstics
Implants Zigomàtics i Pterigoïdals
Altres procediments d’Implants Dentals
Planificació 3D d’Implants Dentals
Casos clínics
FAQs d’Implants Dentals
Estètica dental
Què és…?
Procediments de Estètica Dental
FAQs d’Estètica Dental
Sobre l’institut
Prof. Federico Hernández Alfaro
Equip
Atenció Personalitzada
Serveis Internacionals
Centre Mèdic Teknon
On som?
Centre d’innovació
Últimes tecnologies
Conferències i congressos
Formació
Publicacions científiques
La veu de l’expert
Notícies
Blog
Àrea pacient
Stetik Studio
Español
Català
English
Instituto Maxilofacial
Blog
Àrea pacient
Idioma
Español
Català
English
933 933 185
Demana cita
Barcelona
Videoconferència
Barcelona
Barcelona
Sobre l’Institut
Dr. Federico Hernández Alfaro
Equip
Atenció Personalitzada
Unitat de Suport Psicològic
Serveis Internacionals
Centre Mèdic Teknon
On som?
Centre d’Innovació
Últimes tecnologies
Conferències i congressos
Formació
Publicacions científiques
La veu de l’expert
Casos Clínics i Pacients d'Implants Dentals
Cirurgia Ortognática
¿Què és…?
Procediments
Asimetria Facial
Classe III o Prognatisme Mandibular
Classe II o Retrognàtia Mandibular
Expansió ràpida del maxil·lar o expansió palatina
Mossegada Oberta
Somriure Gingival
Surgery First
Cirurgia mínimament invasiva
Planificació 3D
FAQS
Casos clínics
Apnea del son
¿Què és…?
Procediments
Fèrules d’Avanç Mandibular
Cirurgia Ortognàtica
Planificació 3D
Casos clínics
FAQs
Cirurgia oral i maxil·lofacial
¿Què és…?
Procediments
Articulació Temporomandibular
Tumors de Cap i Coll
Tumor de Glàndules Salivals
Cirurgia de Cordals o Queixals del Seny
Cirurgia Oral i Maxil·lofacial Pediàtrica
Traumatismes Facials
Unitat de Fisioteràpia Maxil·lofacial
FAQs
Unitat d’Odontologia Avançada
Implants dentals
Què són…?
Implants Subperiòstics
Implants Zigomàtics i Pterigoïdals
Planificació 3D
Casos clínics
FAQs
Estètica dental
¿Què és…?
Procediments
Casos clínics d’Estètica Dental
FAQs
Altres procediments
Cirurgia Reconstructiva i Regeneració Òssia
Dents en un dia
ALL ON 4 Y ALL ON 6
Stetik Studio
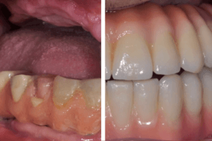
Rossana
Exodoncia de todas las piezas del maxilar Regeneración ósea Colocación de 6 implantes dentales Colocación de 1 implante zigomático
Veure més
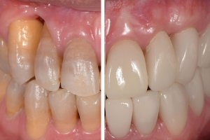
Miguel
Carillas superiores e inferiores
Veure més
JOSEP MARIA
Rehabilitació oral. Reconstrucció òssia. Instal·lació d’implants zigomàtics
Veure més
ROSARIO
Dents en un dia
Veure més
Página 4 de 4
Página anterior
1
2
3
4
Què són els Implants Dentals?
Procediments d'Implants Dentals
FAQs d'Implants Dentals
Gràcies pel teu missatge. Ha estat enviat.
Pensamos que estos contenidos podrían ser de tu interés:
Impacto de la Apnea del Sueño en la Salud Mental
Apnea del sueño: 1 de cada 4 adultos la padece y no lo sabe
Apnea del sueño y sus distintos tratamientos
El teu missatge ha estat enviat. Gràcies per contactar.
Pensamos que estos contenidos podrían ser de tu interés:
Síndrome de cara larga: que és y cómo se trata
FAQs de Cirurgia Estètica Facial
Gràcies pel teu missatge. Ha estat enviat.
Pensamos que estos contenidos podrían ser de tu interés:
¿Cuánto duran los implantes dentales?
Implants zigomáticos: la solució a la pèrdua òssia
¿Sabías que es posible regenerar hueso alrededor de dientes y mejorar su pronóstico?